ABOUT COSMETIC DENTISTRY
At Marsh House Specialist Dentists we offer a range of cosmetic dental treatments to help improve the function and appearance of your smile.
Whatever you are not happy with, speak to us and we will be able to recommend a solution to give you a smile you can be proud of. Our team of experienced professionals offer a number of different cosmetic dental treatments including teeth whitening, smile makeovers, dental veneers and composite bonding.
Please get in touch if you’d like to book an appointment or find out more about any of our cosmetic dentistry services.

Teeth Whitening
If dull and stained teeth are denting your confidence, it is time to talk to us about teeth whitening. Having whiter teeth can boost your self-confidence and even make you look younger! We offer treatments to lighten your teeth to a shade that suits you. Our treatments are non-invasive, quick and virtually painless.

Smile Makeovers
Sometimes it isn’t just one treatment but a combination of treatments that are needed to help you achieve the smile you’ve always dreamed about. Our smile makeovers are designed to assess, enhance and improve your smile using one or more cosmetic dental treatments. From veneers and composite bonding to crowns, implants to whitening, we will advise you on the most suitable treatments to achieve the perfect smile for you.

Dental Veneers
Stained, chipped, misshapen or crooked teeth can be easily remedied with dental veneers. We create a thin porcelain shell to fit over the front surface of your natural tooth which will blend in seamlessly with the rest of your smile. Veneers can be used on one or more teeth to change their shape, size, colour and appearance.

Composite Bonding
If you are looking for a fast fix to your misshapen or stained teeth, we offer SmileFast composite bonding which enables you to get new veneers in just 60 minutes! We start by taking images so we can show you what will be possible, to help you decide whether the treatment is right for you. SmileFast composite bonding is a revolutionary system in cosmetic dentistry and can help treat aged, worn or discoloured teeth as well as fixing small gaps between teeth without braces.








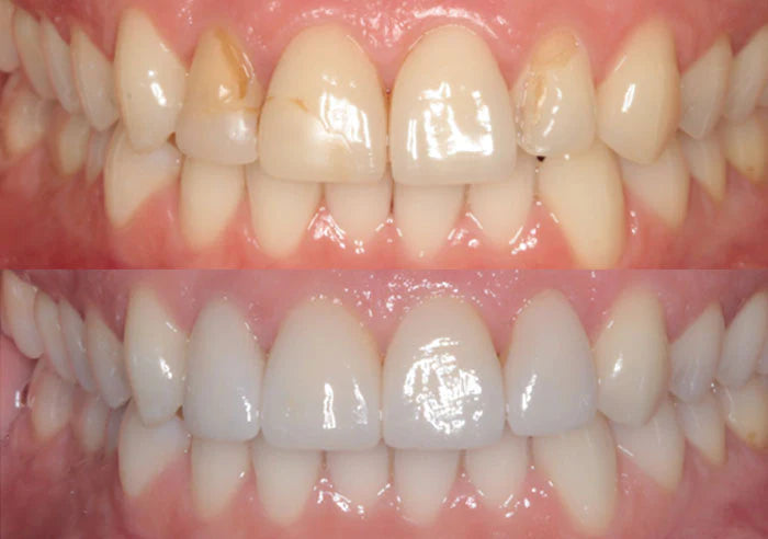
BEFORE AND AFTER IMAGES
This 38 year old female had broken veneers placed 15 years ago. We
carried out Enlighten whitening and placed EMax veneers UR2-UL2 and
provided a nighttime splint.
BEFORE AND AFTER IMAGES
This 40 year old patient disliked her uneven looking teeth. The patient
had retained deciduous canines and a deep bite. We decided to place 10
direct upper composite veneers with a Dahl effect. The patient declined
orthodontic treatment and gum surgery and will consider implants in the next few years.
BEFORE AND AFTER IMAGES
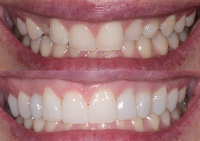
This 25 year old patient was unhappy with his crooked uneven teeth. Here we did dual arch Invisalign Lite, tooth whitening, composite bonding ur2-ul2, class v cervical margin restorations and a small gingivectomy ur1.
BEFORE AND AFTER IMAGES
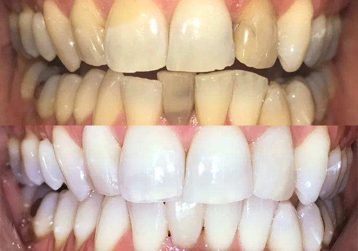
This 34 year old patient was very unhappy with the appearance of her
dark front tooth and uneven edges. Here we did Enlighten whitening
followed by internal whitening (inside out) of UL1. We then placed Emax veneers UR1 UL1 and direct composite veneers UR2 UL2.
BEFORE AND AFTER IMAGES
This 50 year old patient was very unhappy with the appearance of his smile. Here we did home whitening and multiple Emax crowns/veneers on the upper arch and composite bonding on the lower incisors – the patient is having composite lr3 ll3 in 6 months.
BEFORE AND AFTER IMAGES
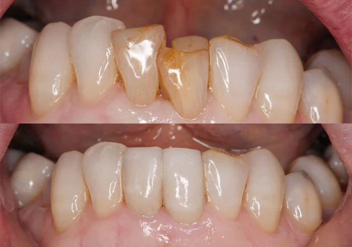
This 65 year old patients daughter was getting married and she didn’t like her 2 dark chipped lower teeth. Here we did 2 Emax veneers LR1 LL1.
BEFORE AND AFTER IMAGES
This 22 year old patient disliked her chipped uneven teeth. Here I provided simple no preparation layered composite restorations UL1 UR1.
BEFORE AND AFTER IMAGES
The 46 year old patient was very unhappy about her 2 dark teeth. Here we did external and internal whitening, replaced the dark composites and placed one veneer on the lower incisor.
COSMETIC DENTISTRY
Fee Guide
Consultation
£150
Composite
£100 - £350
Cosmetic composite bonding
£250 - £400 per tooth
Ceramic veneer
£100 per tooth
Ceramic onlay/inlay/crown
£1000 per tooth (emax/zirconia)
Gold onlay/inlay/crown
£1000 per tooth
Porcelain fused top metal Crown
£750
Recement
£180
Bridge ceramic
£1000 per unit
Bridge metal
£750 per unit
Denture – Chrome
from £1100 - £1700
Denture – Acrylic
from £500 - £1000
Home whitening – pola night (at home)
£350
Boutique whitening
£350
Home whitening – Enlighten (at home & in surgery)
£600




