ABOUT GENERAL DENTAL CARE
At Marsh House Specialist Dentists, we offer a range of general dental care to ensure you have healthy teeth and gums.
We don’t make you fit into our idea of what dental treatment should be, instead we provide dental services and treatments to suit you and your needs.

DENTAL CARE TO SUIT YOUR NEEDS
General Dental Care
In addition to the specialised dental treatments we offer to our patients, we also provide a range of general dental care services including regular examinations, fillings, dentures and extractions to look after your smile.
Please get in touch with us today if you’d like to book an appointment or find out more about any of our general dental care services.

THE IMPORTANCE OF PREVENTIVE CARE
Regular Dental Examinations
Visiting your dentist regularly is one of the best ways to avoid dental problems. We can help you to achieve and maintain a good level of oral health to minimise your future treatment needs. At your check-up you can expect us to conduct a thorough examination of your teeth as well as examining your head, neck and jaw joints to advise on any treatment. We will also carry out screening to check for oral cancer and gum disease.
If we believe you need any treatment, we will discuss all the options with you and also offer preventive advice on what you can do yourself to minimise the risk of gum disease and tooth decay in the future.

Tooth Fillings
Fillings are probably the most common dental treatment. Around 84% of all adults in the UK have one or more fillings and whilst we will do everything we can to advise you on prevention, if you do need to have a tooth filled you can rest assured that you are in good hands. We offer composite fillings which are less invasive than traditional fillings and means that we do not need to remove any healthy tooth tissue.

Crowns and Bridges
Both crowns and bridges can be used to close gaps or improve the appearance of your teeth. A crown fits over your natural tooth to cover up any damage or to improve the appearance or alignment of your smile. A bridge is used to fill a gap between one or more missing teeth. We offer both treatments to give you a long-lasting and hassle free solution to improving the appearance of your smile.

Dentures
If you have a few missing teeth you may have problems eating and speaking, but you don’t need to suffer in silence. Talk to us about dentures as they can provide an easily maintained and natural looking solution. Whether you need full dentures or partial dentures we can advise on exactly what to expect and create dentures that are tailor-made to fit snugly over your gums and give you the confidence to eat and drink normally again.

Extractions
There are many reasons why you might need to have a tooth removed but it is nothing to worry about. Tooth extractions are a common form of dental treatment and are often used as a last resort for a severely damaged or decayed tooth. We’ll explain the procedure to you beforehand and you’ll have your tooth removed under local anaesthesia or sedation, so you won’t feel any pain.

Emergency Dental Care
We understand how painful and uncomfortable it can be if you have an accident that affects your teeth, a dental abscess, worsening pain or bleeding from an existing dental problem, which is why we offer an emergency dental care service. Simply call our number 020 8646 6200 as you normally would and if it is out of hours we’ll have instructions for you on what to do next. Don’t suffer in pain, call us today and we’ll do our best to see you as soon as possible.




BEFORE AND AFTER IMAGES
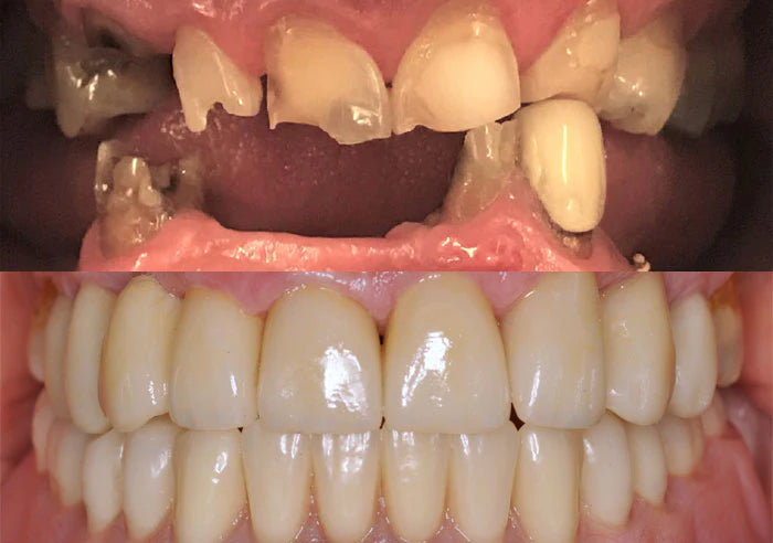
This 64 year old patient has severe toothwear, gaps and failing bridgework/ crowns. The dentist trialled the increased OVD with direct composite for 4 months. Since there were no symptoms the dentist proceeded to restore with milled porcelain bonded crowns upper arch, lower ceramic crowns lower arch (would have preferred to do milled lower crowns but the patient had financial constraints) and cobalt chromium dentures. A Michigan splint was provided.
BEFORE AND AFTER IMAGES
This 24 year old patient had caries LR7 and secondary LR6 here the dentist placed direct composite restorations.
BEFORE AND AFTER IMAGES
This 75 year old patient has severe toothwear and had neglected his
teeth. He declined implants due to financial constraints so the dentist did upper Emax crowns and bridgework and a lower full acrylic denture.
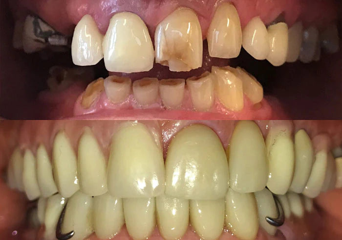
BEFORE AND AFTER IMAGES
This 68 year old female had a failing restoration LL6. Here we prepared the tooth, carried out IDS and placed an Emax onlay using heated composite to cement.
GENERAL DENTISTRY
Fee Guide
New Patient consultation over 18 (inc IF clinically required xrays)
£150
Recall (excluding xray)
£70
Emergency new patient (inc IF needed xray script temp fill + the Q for permanent tx fee)
£150
Emergency registered patient
£120
Composite
£100 - £350
Cosmetic composite bonding
£250 - £400 per tooth
Ceramic veneer
£100 per tooth
Ceramic onlay/inlay/crown
£1000 per tooth (emax/zirconia)
Gold onlay/inlay/crown
£1000 per tooth
Porcelain fused top metal Crown
£750
Recement
£180
Bridge ceramic
£1000 per unit
Bridge metal
£750 per unit
Denture – Chrome
from £1100 - £1700
Denture – Acrylic
from £500 - £1000
Hard Nightguard
£200 - £800
Soft Nightguard
£150
Extractions
£150 - £550
Endodontics
£300 - £600




