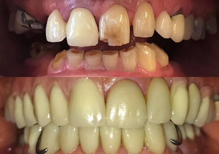
This 64 year old patient has severe toothwear, gaps and failing bridgework/ crowns. I trialled the increased OVD with direct composite for 4 months. Since there were no symptoms I proceeded to restore with milled porcelain bonded crowns upper arch, lower ceramic crowns lower arch (would have preferred to do milled lower crowns but the patient had financial constraints) and cobalt chromium dentures. A Michigan splint was provided.



