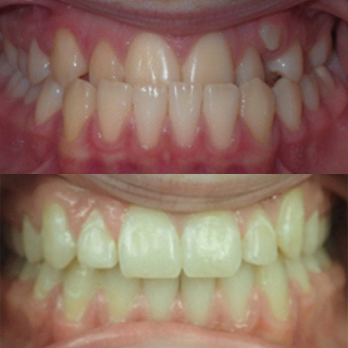
TYPES OF TEETH MISALIGNMENT
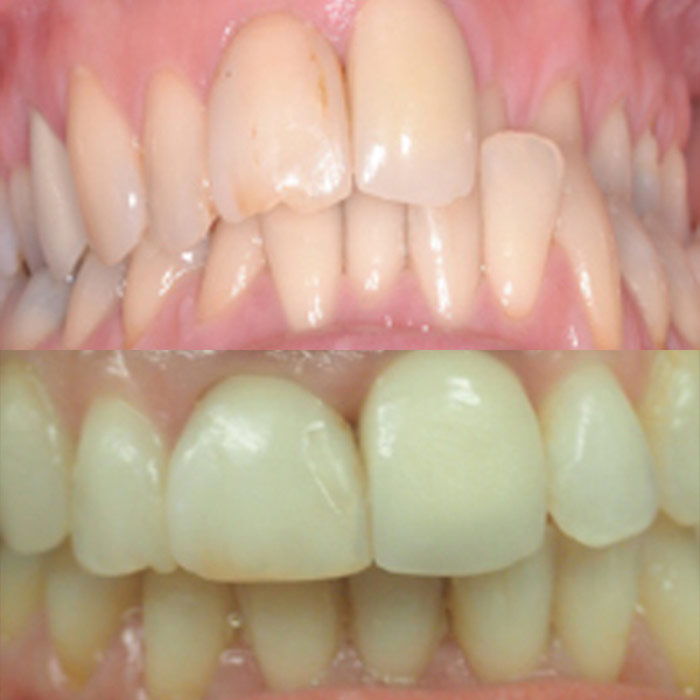
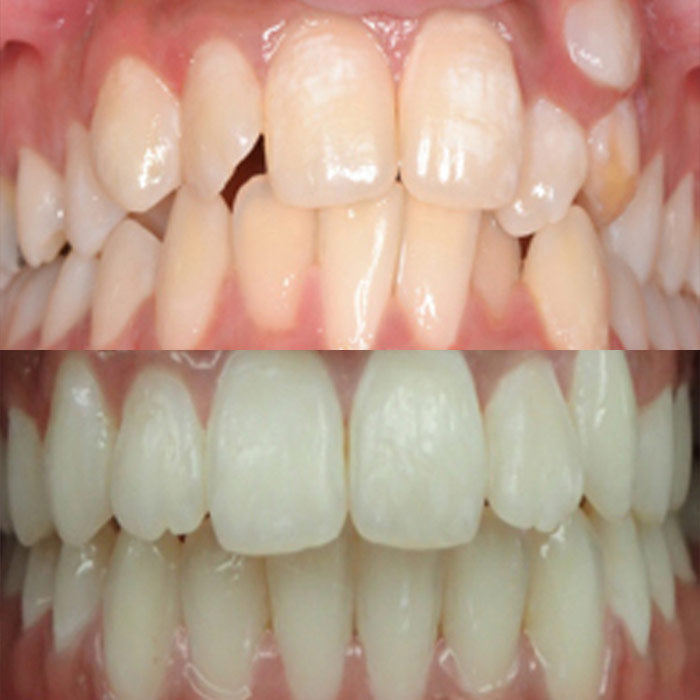
Occlusion refers to your teeth’s alignment; your teeth should be sat in your mouth without crowding or spacing issues.
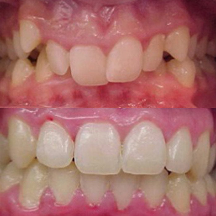
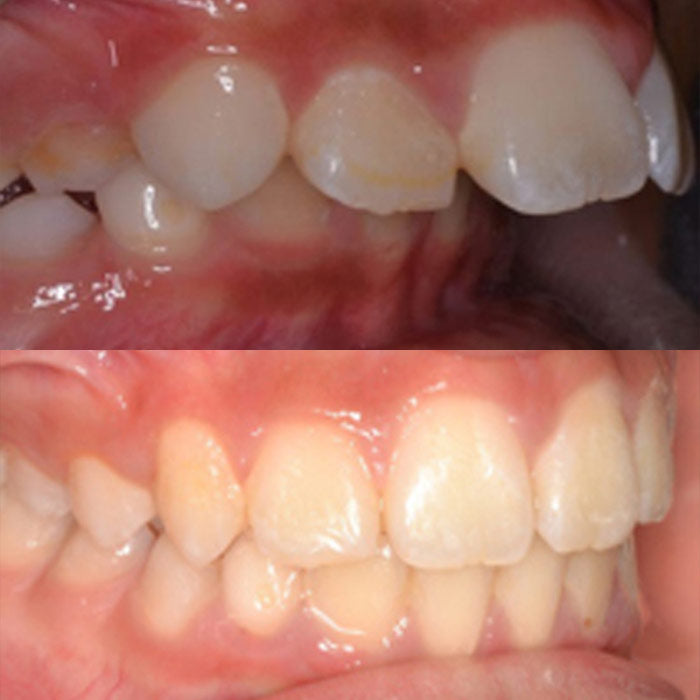
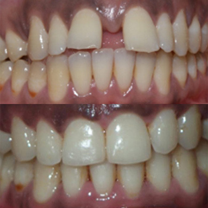
Typically, the upper teeth rest above the lower teeth when your jaw is closed and the top surfaces of the molars line up. However, this is not always the case. Malocclusion of the teeth is a misalignment problem that can lead to oral health complications. Common types of misalignment are shown below.






This is when your teeth fight for space in your mouth, overlapping with each other like “fangs”. They are difficult to clean and not aesthetically pleasing.
This is when the back teeth are biting outside the “occlusal table” of the mouth which tend to affect chewing ability and jaw joint problems.
This is when you have big gaps between your teeth, this causes an aesthetic problem.
This is when the upper front teeth stick out causing an aesthetic problem and inability to chew effectively.
This is then your upper jaw juts out over your lower jaw causing trauma to the gum and inability to chew effectively.
This is when there is discrepancy in the relative sizes of the jaws leading to inability to chew effectively.
The benefits of orthodontics
Beside the appearance of your teeth, orthodontic treatment can contribute to overall oral health, smile, psychological wellbeing,
self-esteem and confidence. Orthodontic treatment therefore should generally be seen as investing in your child’s or your future!
If you would like to find out more about how we can help, please get in touch.




