ORTHODONTIC TREATMENT
Orthodontics is a special branch of dentistry that focuses on diagnosing and treating tooth misalignment and jaw irregularities, using treatments such as fixed braces, removable appliances and clear aligners to deliver a more aesthetically pleasing smile.
At Marsh House in Mitcham, our team of highly skilled orthodontic specialists are trained in the latest orthodontic techniques and appliances to provide highly effective and efficient teeth straightening treatments.
We provide private orthodontic treatment to our own patients and those referred by a dentist and also offer NHS assessments for children and young people under the age of 18. We do not offer NHS treatment but we do offer our own child orthodontics scheme, offering treatment at heavily discounted rates for those children who do not qualify for NHS orthodontics.
Whether you are looking for adult braces or want to discuss orthodontics for your child, our comfortable, welcoming practice and friendly team await your first visit.

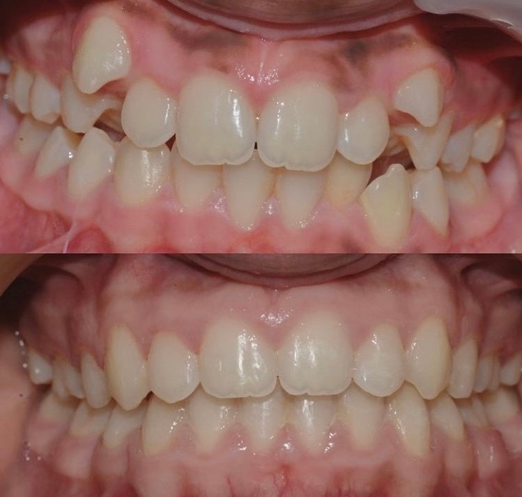
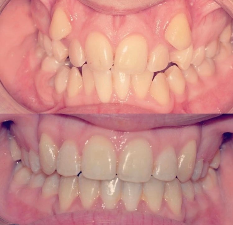
TEETH STRAIGHTENING
Treatment for children
We offer a wide choice of treatments for children to help them smile with confidence for life. We offer a range of payment plans, including an interest-free option, to help spread the cost of your child’s treatment.
FIND OUT MORE
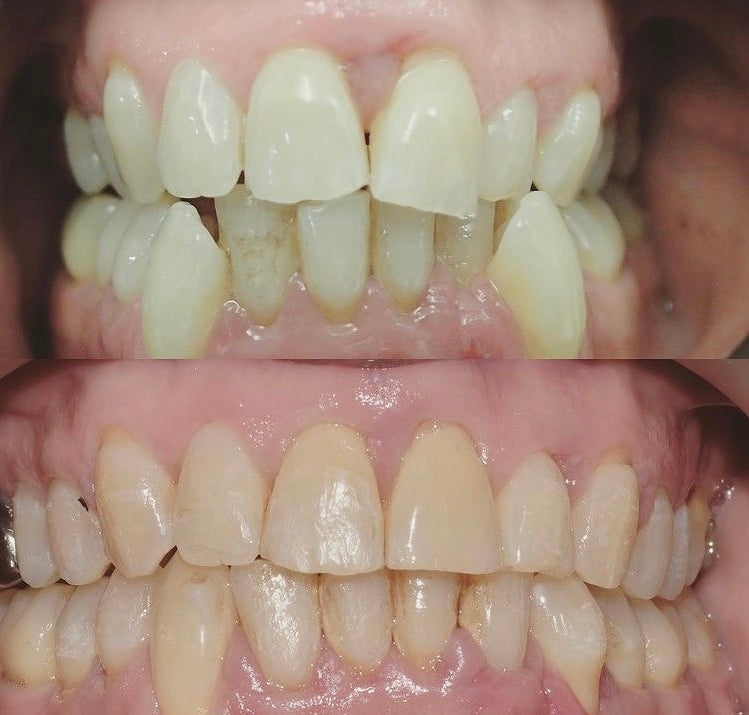
TEETH STRAIGHTENING
Treatment for adults
It’s never too late to put a smile on your face! Whatever your age, we can help you to smile with confidence by straightening uneven or misaligned teeth.
FIND OUT MORETypes of treatment
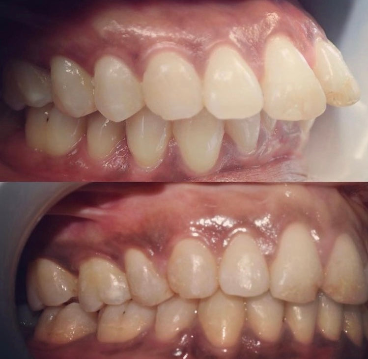
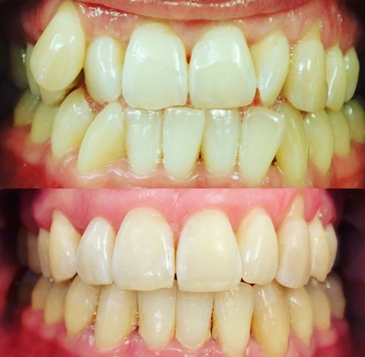
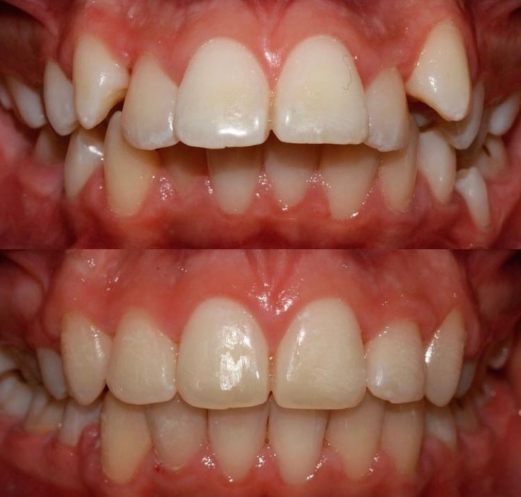
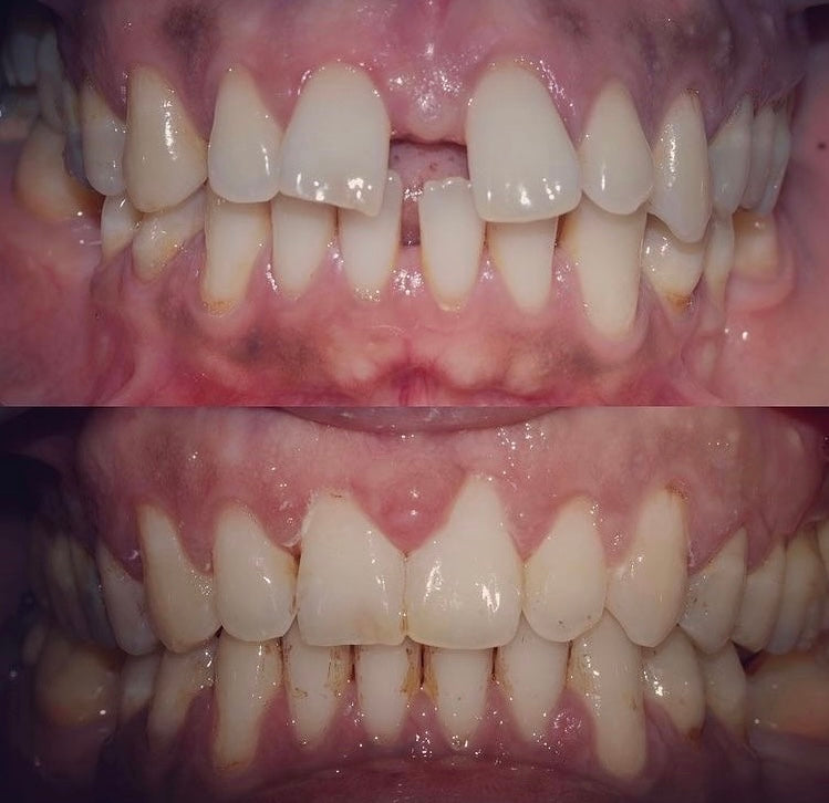
Invisalign - clear aligners tailored to your mouth that are designed to be worn and changed every 2 weeks to gradually move the teeth into a new position. We offer several types of Invisalign aligners including Invisalign i7 for minor orthodontic issues, Invisalign Teen which has been specifically designed for teenagers and standard Invisalign which is excellent for treating crooked, gappy and misaligned teeth.
Fixed braces - far from the traditional ‘train track’ braces of old, our fixed brace range includes clear ceramic braces that blend in with the colour of your teeth and metal braces with coloured bands, that allow you to express your individual personality.

PATRICK WILLIAMS
Invisalign Diamond Apex Provider
Invisalign clear aligners continue to grow in popularity. The aligners are virtually invisible and designed to be expertly and uniquely shaped to your teeth, gradually closing gaps, correcting and straightening them over time for beautiful, even results. They are removable too, making it easy to fit Invisalign treatment into your routine.
We are extremely proud that our Specialist Orthodontist Dr Patrick Williams is recognised as an Apex Invisalign Provider. This means that he is one of the top performing Invisalign providers across all of Europe.
If you would like to find out more about Invisalign treatment at Marsh House please get in touch.
What our patients say 

SW
A delightful experience
"The staff here at Marsh House are always welcoming, friendly and professional. I’m almost done with my treatment and I’m extremely happy with my results so far. My experience with orthodontic treatment has been smooth sailing and overall a delightful experience thanks to all of the amazing staff here."

PR
Very happy with my treatment
"Absolutely the most fantastic orthodontist I’ve been too. Staff are super friendly and supportive which was so nice as I’m a student and would often ask me how I’m doing or help me book appointments convenient for my time schedule. Left feeling very happy with the outcome of my treatment. No cons at all. Great orthodontist!"

AH
Great results and amazing service!
"Absolutely the friendliest, most accommodating dental or orthodontist practice I’ve encountered. They will always try and fit appointments around your schedule, friendly staff at reception invariably greet you with a smile. Appointments run on time and the orthodontists and dental technicians are fantastic. Great results and amazing service! Would definitely recommend."

LR
First class service
"My whole experience from start to finish has been a pleasurable one. Dr Williams and his team made me feel at ease and my treatment was explained to me at every stage. I spoke to Laura or Karen who were always at the end of the phone and always happy to answer any of my questions however small. The surgery was always clean and tidy and the staff were always so friendly. I would recommend this practice to anyone thinking of having brace treatment. First class service."

RA
The best experience
"The best experience. As a nervous twenty-something looking to get braces, I didn't have a clue where to start. I had a sit down consultation with Laura who was so kind and helpful and I knew right away I would be going ahead with the treatment. I looked forward to my appointments to get my braces tightened as the staff are so reassuring and invested in your 'journey'. Cannot recommend Marsh House enough!"

DA
I can't stop smiling
"I have just had my braces taken off today and feel so happy with the result. I cant stop smiling. The staff there are so lovely and helpful and have always been so reassuring, talking to me and explaining everything that they are doing to make me feel calm and as relaxed as possible. Really lovely and very clean place. Would definitely recommend them."

ORTHODONTIC REFERRALS WELCOME
Refer your patient
If you are a dentist referring a patient to us, you can rest assured that they will be receiving an exceptionally high standard of care, from a dental specialist who is highly skilled and experienced in their chosen field. You can relax, knowing that your patients are in very good hands.
MAKE A REFERRAL 
        
         
        
         
        
        

















